MUNAFF
DENTAL CLINIC
5000+
Happy Patients
3+
Years Experience
99%
Success Rate
100%
Safety First
About Us
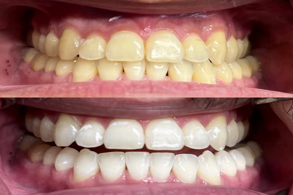
At Munaff Dental Clinic, we are dedicated to providing exceptional dental care that prioritizes your health, comfort, and confidence. With a team of skilled professionals, we offer a wide range of services from routine check-ups and cleanings to advanced cosmetic and restorative treatments.
Our mission is to make every visit comfortable and stress-free, ensuring that each patient leaves with a smile they are proud to show.
Patient-Centered Care
Advanced Technology
Experienced Team
Relaxing Environment
Our Services
Comprehensive dental care solutions tailored to your needs
Book Your Appointment
Take the first step towards a healthier, brighter smile
Contact Us
Located in Latrikunda Sabiji around Kaw junction, conveniently situated to serve patients from the local area and beyond.
Location
Latrikunda Sabiji, Kaw junction
Working Hours
Monday - Sunday 9:00 AM - 10:00 PM




